Q-tips- A Guilty Pleasure
![]() |
Ryan W. Ridley, MD Physician at Houston Ear, Nose, Throat and Allergy Otolaryngology Section Chief & Dept Chair- Memorial Hermann Southwest Hospital Certified by the American Board of Otolaryngology Fellowship trained clinical otology About the author: Dr. Ridley completed a Bachelors Degree in Biology at Howard University in our nation’s capital of Washington, DC. After completing his undergraduate studies, Ryan attended The University of Texas Medical Branch in Galveston (UTMB) for medical school from which he graduated in 2006. Dr. Ridley is board certified in Otolaryngology and fellowship trained in Otology/Neurotology. |
Why the “Eargasm” Isn’t All It’s Cracked Up to be
We’ve all seen them: a small rod with two seemingly harmless pieces of cotton at both ends. You guessed it, the household q-tip (or “cotton buds” if you are British). This item can be found in almost every home in America and probably the world for that matter. If you were to take a random survey of the general population with regards to the function of the q-tip, I have no doubt the overwhelming majority of answers would be, “to clean your ears, of course!” Much to the chagrin of physicians is the fact that most people realize that q-tips are not safe to put in the ear canal…yet people continue to do so! The reason? “It feels soooo good!” my patients often tell me. Well, I am here to tell you what feels so good is actually very dangerous.
History of Q-tips
For the history buffs, the Q-tip was invented in the 1920’s by Leo Gerstenzang1 by taking a toothpick and attaching pieces of cotton on both ends . He originally named the product “Baby Gays”prior to it going on to become what is known today as the “Q-tip” (the Q stood for “quality”).
The dangers of Q-tips
Ear wax impactions- Although the “Q” in Q-tips originally stood for “quality” I do not think it was in reference to getting a quality ear cleaning. In fact, there are few things that do a poorer job of cleaning the ear than Q-tips. You likely formed the habit of using q-tips to remove wax from the ears. In reality, the Q-tip only pushes the wax deeper into the ear canal making it harder to remove and facilitating the formation of a wax impacted ear canal. If your doctor informs you that you have an impacted ear canal, it means that the ear canal is completely (or almost completely) blocked with earwax. (See picture 1)
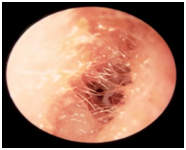
Ear canal infections- This is formally known as otitis externa and is an inflammation of the skin of the ear canal. This is characterized by swelling of the skin, redness and pain. This is sometimes accompanied by discharge. Often, the ear canal skin swells to the extent of completely obstructing the ear canal also causing hearing loss. (See picture 2)
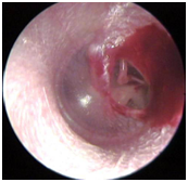
Ear drum perforation and damage to the ear bones- Most patients claim, “I use q-tips, but I don’t go real deep!” However, what often occurs is that someone bumps their arm on accident and the q-tip goes further into the ear canal piercing the ear drum and may also fracture one or more of the 3 small bones attached to the ear drum. This will result in bleeding and some degree of hearing loss that may necessitate surgical correction. Overzealous use of q-tips can also cause lacerations of the ear canal skin which is another reason for bleeding. (See picture 3)
Still not convinced? If not, I think the only way you may become a believer is to learn the hard way. In that case, I’m sure one of my colleagues or I will see you in the office soon!
Picture 1- picture of ear wax in the ear canal. The ear drum is seen behind the ear wax. |
Picture 2- otitis externa. Note the swollen ear canal skin. The ear drum cannot be seen. Drainage is also present. |
Picture 3- perforation in the ear drum caused by q-tip. Bones of the middle ear are seen through the perforation. |
References
- Schueller, Randy (1996), “Cotton Swab”, History 4, FindArticles.com
- Cotton Swab”, Q-tips History, Unilever Home and Personal Care, 2007–2008
(2616)



Felicia Johnson liked this on Facebook.
Melissa Pence liked this on Facebook.
Keisha Eberson liked this on Facebook.
Ian Poolton liked this on Facebook.
Linda Taylor liked this on Facebook.
Carl Farris liked this on Facebook.
Jody Cherry liked this on Facebook.